زرعُ البَسمةِ جراحيَّاً
 
نقلُ قِطعةٍ منَ العضلةِ الرَّشيقةِ إلى الوجهِ لاستعادةِ الحركةِ بعدَ شللِ العصبِ الوجهيِّ
(شلل يل)


(حالةٌ جراحيَّةٌ)

 Segmental Gracilis Muscle Transfer for Smile in Case of Bell's Palsy

"Surgical Case"
 


لتحميل المقال، انقر هنا
لتحميلِ المقال، انقر هنا (docx)

 

Loading in English
Loading In English (docx)

 

لتحميلِ الفيديو، انقر هنا
 

 

الوركُ المُفرقعُ
التهابُ وترِ العضلةِ السَّواسِ الحرقفيَّةِ

 Iliopsoas Tendonitis


لتحميل المقال، انقر هنا
لتحميلِ المقال، انقر هنا (docx)


Loading in English

Loading in English (docx)

 

 

لتحميلِ الفيديو، انقر هنا


 

 

الكيسةُ المعصميَّةُ
(السَّهلُ المُمتّنِعُ)

استئصالٌ جراحيٌّ
للكيسةِ  الأمِّ والكيساتِ البناتِ

 Ganglion Cyst Removal
"Ganglionectomy"


لتحميل المقال، انقر هنا
لتحميلِ المقال، انقر هنا (docx)

 

لتحميلِ الفيديو، انقر هنا
 

 

الورمُ العظميُّ  العظمانيُّ
(العظمومُ العظمانيُّ)

ورمٌ في السُّلاميَّةِ الأولى
للسُّبابةِ اليُسرى

 Osteoid Osteoma

 

لتحميل المقال، انقر هنا
لتحميلِ المقال، انقر هنا (docx)

لتحميلِ الفيديو، انقر هنا
 

قصرُ أمشاطِ  اليدِ
قصرٌ ولاديُّ المنشأ، ثنائيُّ الجانبِ، ومُتناظرٌ، في أمشاطِ اليدِ الثَّلاثةِالزِّنديَّةِ 

 BrachyMetacarpia

 

لتحميل المقال، انقر هنا
لتحميلِ المقال، انقر هنا (docx)

 

Loading in English

Loading in English (docx)

 

لتحميلِ الفيديو (1)، انقر هنا
لتحميلِ الفيديو (2)، انقر هنا
 

 

حقنُ العضلةِ الكمثريَّةِ
في علاجِ مُتلازمةِ العَضلةِ الكمثريَّةِ & ألمِ العصبِ الوركيِّ في فتقِ النَّواةِ اللُّبيَّةِ

 Piriformis Muscle Injection In Treatment of
Piriformis Muscle Syndrome & Sciatica of Herniated Disk


 

لتحميل المقال، انقر هنا
لتحميلِ المقال، انقر هنا (docx)

لتحميلِ الفيديو، انقر هنا
لتحميلِ الفيديو (2)، انقر هنا
 

loading in English

Loading Video in English
 


 العصبُ الزِّنديُّ
 
خلعٌ ولاديٌّ تامٌّ ثُنائيُّ الجانب
 Ulnar Nerve
Congenital Bilateral Dislocation


 

لتحميل المقال، انقر هنا

لتحميلِ المقال، انقر هنا (docx)

 

لتحميل الفيديو، انقر هنا
 

Loading article in English

Loading in English (docx)


Loading Video in English
 

 


عظمُ الصَّخرةِ الهوائيُّ
Pneumatic Petrous
 


 

لتحميل المقال، انقر هنا
لتحميل الفيديو، انقر هنا


Loading Video in English
Loading article in English

 

 

تَصنيعُ المرفقِ الذَّاتيُّ
بدونِ إضافاتٍ معدنيَّةٍ
Elbow Auto- Arthroplasty
 


 

لتحميل الفيديو، انقر هنا

لتحميل المقال، انقر هنا
 


 

 


مُتلازمةُ العَصَب
بين العِظامِ الخلفي
 Posterior Interosseous Nerve Syndrome
 


 

لتحميل المقال، انقر هنا
لتحميل الفيديو، انقر هنا

Loading in English

 

 


عَمليَّاتُ النَّقلِ الوتريِّ
لإصلاحِ شللِ العصبِ الكعبريِّ
Tendon Transfers
for Radial Palsy

 


 

لتحميل المقال، انقر هنا
لتحميل الفيديو، انقر هنا

Loading in English

 

وَرَمُ شوان أمَامَ العجز
Presacral Schwannoma

لا يتعدى الموصوف منها الـ 21 قي الأدب الطبي. تنشأ على حساب خلايا شوان المشكلة للغمد العصبي. هي أورام نادرة بذاتها، و توضعها الحوضي هو "لِقيةُ" النادر.
و كعادتي مع كل خاص، كان لابد من  التكريم
وتوثيق لحظة اللقاء و توصيفها.
 

لتحميل المقال، انقر هنا
لتحميلِ المقال، انقر هنا (doc)


Loading in English

Loading in English (doc)

 


 

وَرمُ خليَّةِ شوان
في العصب الظَّنبوبيِّ
Tibial Nerve Schwannoma

انقر هنا لتحميل المقال
لتحميلِ المقال، انقر هنا (doc)

 

 

تَدبيرُ شَلل اليَدِ
 دماغيِّ المنشأ

 

 

الأولى حبٌ و عشقُ

الثانية لعبٌ و هرجُ

الأولى جفتني،  هجرتني الثانية

و أنا الوصّافُ المالكُ لأدواته

هي اللغة الحضن، والشقيّة الكلمة

الآن لكم الصورة، و التفاصيل لواحق

تحكي الصورة أنّ " الشاب أيهم يصافح خاله بيمناه".. لكن " يمين الشاب أيهم مشلولة منذ 27 عاماً إثر رض على الرأس ".  بـ !... كيـ..؟


 
انقر هنا للتحميل
لتحميلِ المقال، انقر هنا (doc)
 

 

 

تَدبيرُ شَلَلِ اليدِ
رضِّيِّ المنشأ



 

  
انقر هنا لتحميل المقال
 

 

شللُ إبهام اليد
تفعيلُ الحركة بعمليَّةِ
نقلٍ وتريٍّ

انقر هنا لتفعيل المقال
لتحميلِ المقال، انقر هنا (doc)
 

 

حالة سريرية نادرة
 

غيابٌ خلقيٌّ معزولٌ
وثنائيُّ الجانبِ
للعضلةِ مُبعدةِ الإبهامِ القصيرة

Bilateral Congenital Aplasia of Abductor Pollicis Brevis

انقر هنا لتحميل المقال
لتحميلِ المقال، انقر هنا (docx)

Loading in English
Loading in English (docx)

 

مَرضيَّاتُ المُرتكزِ البعيدِ للعضلةِ ذاتِ الرَّأسينِ العضديَّةِ
The Pathologies
Of
Distal Insertion Of Biceps Brachial Muscle

انقر هنا لتحميل المقال
لتحميلِ المقال، انقر هنا (doc)

 

 

 

 

 

 

 


حالاتٌ سريريَّةٌ
Clinical Cases
 

- الوركُ المُفرقعُ.. التهابُ وترِ العضلةِ السَّواسِ الحرقفيَّةِ Iliopsoas Tendonitis

- نقلُ قطعةٍ منَ العضلةِ الرَّشيقةِ إلى الوجهِ لاستعادةِ الحركةِ المفقودةِ بسبب شلل يل Segmental Gracilis Muscle Transfer for Smile in Case of Bell's Palsy

- الكيسةُ المعصميَّةُ، السَّهلُ المُمتنِع Ganglionectomy

- الورمُ العظميُّ العظمانيُّ (العظمومُ العظمانيُّ) Osteoid Osteoma

- قصرُ أمشاطِ  اليدِ الـ Brachymetacarpia: قصرٌ ولاديُّ المنشأ، ثنائيُّ الجانبِ، ومُتناظرٌ، في أمشاطِ اليدِ الثَّلاثةِالزِّنديَّةِ 

- الورمُ الوعائيُّ في الكبدِ:  الاستئصالُ الجراحيُّ الإسعافيُّ لورمٍ وعائيٍّ كبديٍّ عرطلٍ بسببِ نزفٍ داخلَ كتلةِ الورم

Liver Hemangioma: Emergent Surgical Treatment of Giant Liver Hemangioma Because of Intra-Tumor Bleeding

- حقنُ العضلةِ الكمثريَّةِ بالكورتيزون (مُقاربةٌ شخصيَّةٌ)
Piriformis Muscle Injection (Personal Approach

- العصبُ الزِّنديُّ، خلعٌ ولاديٌّ تامٌّ ثُنائيُّ الجانب
Cubital Nerve, Congenital Bilateral Dislocation

- عظمُ الصَّخرةِ الهوائيُّ   Pneumatic Petrous

- التَّصنيعُ الذَّاتيُّ لمفصلِ المرفقِ Elbow Auto- Arthroplasty

 أذيات النخاع الشوكيّ، الأعراض والعلامات السريريّة، بحثٌ في آليات الحدوث
Spinal Injury, Symptomatology

- تصنيع إبهام اليد باستخدام إصبع القدم

Thumb Reconstruction Using Microvascular Second Toe to Thumb Transfer

-متلازمة الرأس الطويل للعضلة ذات الرأسين الفخذيّة
Biceps Femoris' Long Head Syndrome

 الشريحة الحرّة جانب الكتف، حالة سريريّة
- Free Para Scapular Flap

-Fibula Osteocutaneous Free Flap for Forearm Reconstruction الشريحة الحرة الشظوية العظمية الجلدية في تصنيع الساعد
- تدرن العقد اللمفية الإبطية المعزول

Isolated Axillary tuberculous Lymphadenitis
-الشريحة الشظوية الموعاة في الضياعات العظمية المختلطة و ذات النقي

-الشلل الرباعي، موجبات و أهداف العلاج الجراحي
Tetraplegia, Personal Surgical Approach
-
في الأذيات الرضية للعمود الفقري، هل يمكن التداخل الجراحي المباشر على النخاع الشوكي و ذيل الفرس؟ الجواب: نعم و هو واجب.

- تضاعف اليد- الزند   Ulnar Dimelia
- الشريحة الشظوية الحرة في تعويض ضياع عظمي هام في الظنبوب

-غياب خلقي معزول ثنائي الجانب للعضلة مبعدة ااإبهام القصيرة
Isolated Congenital Bilateral Absence of Abductor Pollicis Brevis

-تصنيع الفك السفلي باستخدام شريحة شظوية موعاة

- Mandible Reconstruction with Free Fibula Flap
-
ميلانوما جلدية خبيثة

-ورم خلية شوان في العصب الظنبوبي

Schwannoma of Tibial Nerve

-تحرير ذيل الفرس " مقاربة جديدة" Cauda Equina
-
Caudal Equina Injury- New Approach

-القدم الهابطة- أذية العصب الشظوي المشترك
-
العلاقة السببية بين التيار الغلفاني و التصلب اللويحي

Causative Relationship, Multiple Sclerosis & Galvanic Current
-
ورم الخلايا الناسجة الليفي الخبيث خلف البريتوان
Loading in English     

-المقاربة الجراحية للعصب الوركي Transgluteal Approach

-كيسات القناة الجامعة choledochal cysts
-
الشريحة الشظوية الحرة في تصنيع عظم الكعبرة
- انسداد الشريان الكعبري الخثري غير الرضي غير الصمي     

  ( Buerger's Disease)
-
 تدبير اليد المخلبيّة claw hand المترافقة و شلل الإبهام.
- متلازمة نفق رسغ تتوّج التزامها بقطع تام للعصب المتوسط    

Carpal Tunnel Syndrome, Unique Reported Case

-الأذيات الرضية للضفيرة العضدية
-
ورم خلايا شوان Presacral Schwannoma

- الشريحة الشظوية الحرة في ترميم ضياعات مادية 
   واسعة في الوجه

- الشريحة الشظوية الحرة في ترميم ضياع هام في الزند

             -  تدبير شلل إبهام أيسر

             - اختلاط غير مألوف للحثل الودي الانعكاسي

Algodystrophy Syndrome

             - تمزق أوتار الكفة المدورة

             - تناذر العضلة الكابة المدورة

             - ثلاثة تدابير جراحية متزامنة و أصبحت اليد اليمنى وظيفية

             -الشريحة الحرة جانب الكتف في ترميم ضياع جلدي واسع

             - تدبير شلل اليد دماغي المنشأ

             - مرضيات المركز البعيد للعضلة ثنائية الرؤوس العضدية






 

تصنيع إبهام اليد
باستخدام إصبع القدم
Thumb Reconstruction Using Microvascular Second Toe to Thumb Transfer


لتحميل المقال، انقر هنا

لتحميلِ المقال، انقر هنا (docx)

 

Loading in English

Loading in English (docx)

 

لتحميل الفيديو، انقر هنا
 


مُتلازمةُ
العضلةِ الكابَّةِ المُدوَّرةِ
Pronator Teres Muscle Syndrome


لتحميل المقال، انقر هنا
لتحميلِ المقال، انقر هنا (docx)

 

كشفٌ جديدٌ

 

متلازمةُ العضلةِ الكابةِ المُدوَّرةِ
شبيهُ رباطِ Struthers
"تسميةٌ مُحدثةٌ"


Struthers- like Ligament
(
Innovated Nomination)
 

 

لتحميل المقال، انقر هنا
لتحميل المقال انقر هنا (docx)

 

Loading in English

Loading in English (docx)


لتحميل الفيديو، انقر هنا

 

 

الأذيَّاتُ الرَّضيَّةُ
للضَّفيرةِ العضديَّةِ
Traumatic Injuries
Brachial Plexus



لتحميل المقال، انقر هنا
لتحميلِ المقال، انقر هنا (doc)

 


جديد

 

التَّصلُّبُ اللُّويحُّ
والتَّيَّارُ الغلفانيُّ؟

Multiple Sclerosis
 

 

لتحميل المقال، انقر هنا
لتحميلِ المقال، انقر هنا (docx)


Loading in English

Loading in English (docx)

 

 

اليدُ المخلبيَّةُ الزِّنديَّةُ
Claw Hand

 


 

 

لتحميل المقال، انقر هنا
لتحميلِ المقال، انقر هنا (docx)

لتحميل الفيديو، انقر هنا
 

Loading article in English

Loading in English (docx)

Loading Video in English
 

 

ميلانوما جلديَّةٌ خبيثةٌ

Malignant Melanoma

انقر هنا لتحميل المقال
لتحميلِ المقال، انقر هنا (doc)
 

 

هام

 

الخبرة الشخصيةفي
 

العلاجُ الجراحيُّ لأذيَّاتِ النُّخاعِ الشَّوكيِّ وذيلِ الفرسِ
 

17 حالة- قراءة- نتائج- خلاصة

 

انقر هنا لتحميل المقال
لتحميلِ المقال، انقر هنا (docx)
 

 

 

هامّ


الشَّللُ الرُباعيُّ
مُقاربةٌ جراحيَّةٌ شخصيَّةٌ
التَّطوُّراتُ التَّاليةُ للجراحة
مقارنةٌ سريريَّةٌ وشعاعيَّةٌ

 


Loading in English
انقر هنا لتحميل المقال
 

 

 

مقاربة جديدة

 أذيَّاتُ ذيلِ الفرسِ الرَّضِّيَّةُ: مقاربةٌ جراحيَّةٌ جديدةٌ

T
raumatic Injuries of the Cauda Equina: A Novel Surgical Approach


 

انقر لتحميل المقال
لتحميلِ المقال، انقر هنا (docx)


loading in English

Loading in English (docx)

 

 


الجديدُ...  المُحدثُ
New Syndrome

مُتلازمةُ الرَّأسِ الطَّويلِ للعضلةِ ذاتِ الرَّأسينِ الفخذيَّة
Biceps Femoris' Long Head Syndrome

انقر هنا لتحميل المقال
لتحميلِ المقال، انقر هنا (docx)

Loading in English
Loading in English (docx)

Loading in English
Loading in English (docx)

 

الشَّريحةُ الحرَّةُ جانبِ الكتف

Para Scapular Flap
(1)

لتحميل المقال، انقر هنا
لتحميلِ المقال، انقر هنا (docx)


l
oading in English
Loading in English (docx)


حالة جراحيَّةٌ نادرة

 

الورمُ الوعائيُّ في الكبد
Liver Hemangioma
 


لتحميل المقال، انقر هنا
لتحميل المقال، انقر هنا (doc)


Loading in English
Loading in English (doc)

 

 


الشَّريحةُ الحرَّةُ جانبِ الكتف

Para Scapular Flap
(2)


 

 


انقر هنا للتحميل

لتحميلِ المقال، انقر هنا (doc)

loading in English


 


كيسةُ القناةِ الجامعةِ
Choledochal Cyst

 

 

 

 

 

 

 

 

 

 

 

 

 

 

 

 

 

 

 

 

 

 

 

 

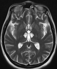
التهابُ المهادِ الإنتقائيُّ المناعيُّ ثنائيُّ الجانبِ
حالةٌ سريريَّةٌ تشي بدورٍ مُحتملٍ للفيروساتِ في تطوِّرِ وعيِ الأنسانِ
Bilateral Selective Autoimmune Thalamitis

 

 


لتحميل المقال، انقر هنا

لتحميلِ المقال، انقر هنا (docx)

 

Loading in English

Loading in English (docx)

 

 

 

أمراضُ الثَّدي
ما حولَ سنِّ اليأسِ

نحوَ مقارباتٍ أكثرَ حسماً

Peri-Menopausal Lesions
Towards More Decisive Approaches

 

 

لتحميلِ المقالِ، انقر هنا
لتحميلِ المقال، انقر هنا (docx)

لتحميلِ الفيديو، انقر هنا


Loading in English
Loading in English (docx)

 

لتحميلِ الفيديو، انقر هنا

 

 

سلُّ العمودِ الفقريِّ

داءُ بوتْ

Tuberculosis of Vertebrae
Pott's Disease

 

 

لتحميل الفيديو، انقر هنا

 

 

 

الكهفُ السِّلِّيُّ الرِّئويُّ
T
uberculous Cavern of Lung

 

 

لتحميل الفيديو، انقر هنا

 

 

 

الشَّريحةُ الشَّظويَّةُ الحرَّةُ المركّبةُ لترميم ضياعاتٍ ماديَّةٍ واسعةٍ في الوجه
Face Reconstruction
Using Composite Free Fibula Flap 1
 

   
 

 

 

 

 

 

 

 

 

 

لتحميل المقال، انقر هنا
لتحميلِ المقال، انقر هنا (doc)


Lo
ading in English

Loading in English (doc)

 

 

الشَّريحةُ الشَّظويَّةُ الحرَّةُ 2
Free Fibula Flap 2


 

انقر هنا لتحميل المقال
لتحميلِ المقال، انقر هنا (doc)


loading in English
Loading in English (doc)

 

 

الشَّريحةُ الشَّظويَّةُ الحرَّةُ 3
Free Fibula Flap 3


انقر هنا لتحميل المقال
لتحميلِ المقال، انقر هنا (docx)

 

 

الشَّريحةُ الشَّظويَّةُ الحرَّةُ المُركَّبةُ في تصنيع السَّاعدِ
Fibula Osteocutaneous Free Flap for Forearm Reconstruction 4



 

انقر هنا لتحميل المقال
لتحميلِ المقال، انقر هنا (docx)

 

 

 

 

الشَّريحةُ الشَّطويَّةُ الحرَّةُ في تعويض خسارةٍ ظنبوبيَّةٍ هامَّةٍ
Free Fibula Flap 5
 


انقر هنا لتحميل المقال
لتحميلِ المقال، انقر هنا (doc)
 

 

 


الشَّريحةُ الشَّظويَّةُ الموَّعاةُ
في علاج الضّياعات العظميّة المختلطة بذات النَّقي
Free Fibula Flap 6

 

 

انقر هنا لتحميل المقال
لتحميلِ المقال، انقر هنا (docx)
 

Loading in English
Loading in English (docx)

 

 

تَصنيعُ الفكِّ السُّفليِّ
باستخدام الشَّريحةِ الشَّظويَّةِ الموعَّاةِ
Mandible Reconstruction with Free Fibula Flap

7



 

انقر هنا لتحميل المقال
لتحميلِ المقالِ، انقر هنا (doc)


loading in English
Loading in English (doc)

 

 

 

حثلٌ وديٌّ انعكاسيٌّ تميَّزَ بظهور حلقةٍ جلديَّةٍ خانقةٍ
Reflex Sympathetic Dystrophy Syndrome 

 
 

انقر هنا لتحميل المقال
لتحميلِ المقالِ، انقر هنا (docx)


loading in English
Loading in English (docx)

 


هامٌّ

نهايةٌ غيرُ مألوفةٍ  لمتلازمةِ نفقِ الرِّسغِ
U
nexpected End
of Carpal Tunnel Syndrome


لتحميل المقال، انقر هنا
لتحميلِ المقال، انقر هنا (docx)


l
oading in English
Loading in English (docx)

 


جديد

أذيَّاتُ العصب الشَّظويِّ
"القدمُ الهابطةُ"
Injury of Peroneal Nerve
"Foot Drop "



 

لتحميل المقال، انقر هنا
لتحميلِ المقال، انقر هنا (docx)

لتحميل الفيديو، انقر هنا


 

ورمٌ عرطلٌ خلف البريتوان
Retroperitoneal Malignant
 Fibrous Histiocytoma



انقر هنا لتحميل المقال
لتحميل المقال، انقر هنا (doc)


Loading in English

Loading in English (doc)

 


حالة سريرية نادرة

تضاعفُ اليد الخلقيُّ
Ulnar Dimelia

انقر هنا لتحميل المقال
لتحميل المقال، انقر هنا (docx)

Loading in English
Loading in English (docx)

 

 

انسدادُ الشَّريانِ الكعبريِّ
(داء
برغر)
Buerger's Disease

 

 


انقر هنا  لتحميل المقال

لتحميلِ المقال، انقر هنا (docx)


loading in English

Loading in English (docx)

 

 

 

العصبُ الوركيُّ
ناحيةَ الإليةِ
 مقارباتٌ جراحيَّةٌ
قديمةٌ، حديثةٌ، وشخصيَّةٌ

The Sciatic Nerve
in Gluteal Region
The Surgical
Traditional, New, and personal Approaches
 

 

انقر هنا لتحميل المقال
لتحميلِ المقال، انقر هنا (doc)
 

 

 

 

 

 

 

 

 

 

 

 

 

 

 

 

 

 

 

 

 







Copyright Hmaza younes All rights reserved
الرئيسيةحول الموقعحالات سريريةمتفرقاتجديد الموقعاتصل بنا
E-mail Home Contacts Career Center Our Cervices Patent Care About Us Home